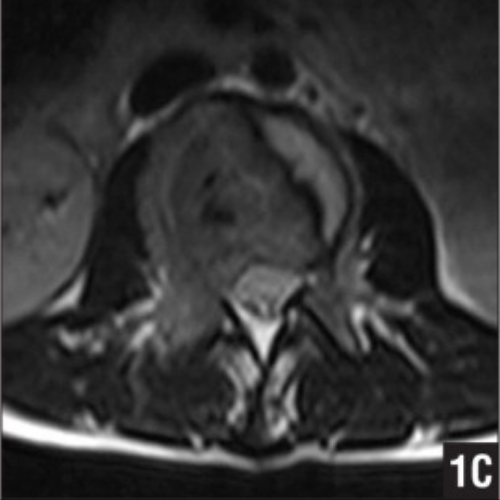
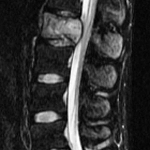
Omurga Tümörleri: Belirtileri, Tanı Yöntemleri ve Güncel Tedavi Yaklaşımları
Omurga tümörleri, omurilik kanalında veya omurgayı oluşturan kemik yapılar (vertebralar) içerisinde gelişen anormal hücre kitleleridir. Bu tümörler, doğrudan omurganın kendi dokularından kaynaklanabileceği gibi (birincil/primer tümörler), vücudun başka bir bölgesindeki kanserin (akciğer, meme, prostat gibi) omurgaya sıçramasıyla da (ikincil/metastatik tümörler) oluşabilir. Metastatik tümörler, primer tümörlere oranla çok daha yaygın görülür ve genellikle ileri evre kanserlerin bir komplikasyonu olarak karşımıza çıkar.
Belirtiler: Vücudun Alarm Sinyalleri
Omurga tümörlerinin en yaygın ve genellikle ilk belirtisi sırt veya bel ağrısıdır. Bu ağrı, mekanik ağrılardan farklı olarak genellikle istirahatle geçmez ve geceleri şiddetlenme eğilimi gösterir. Tümör büyüdükçe sinirlere veya omuriliğe baskı yaparak şu semptomlara yol açabilir:
Tanı ve Tedavi Süreci
Tanı aşamasında en güçlü araç kontrastlı MR (Emar) görüntülemesidir. Kemik yapının detaylı incelenmesi için Bilgisayarlı Tomografi (BT) ve tümörün yayılımını belirlemek için PET/CT gibi yöntemler kullanılır. Kesin teşhis ise genellikle doku örneği (biyopsi) ile konulur.
Tedavi yaklaşımı; tümörün tipine, büyüklüğüne, konumuna ve hastanın genel sağlık durumuna göre multidisipliner bir ekip (beyin cerrahı, onkolog, radyolog) tarafından belirlenir. İyi huylu (benign) tümörlerde sadece cerrahi çıkarma yeterli olabilirken, kötü huylu (malign) tümörlerde cerrahiye ek olarak radyoterapi ve kemoterapi uygulanır. Günümüzde "Stereotaktik Radyocerrahi" (CyberKnife gibi) yöntemleri, cerrahinin riskli olduğu bölgelerdeki tümörlere yüksek dozda radyasyonu hassas bir şekilde odaklayarak başarılı sonuçlar vermektedir.
Sonuç olarak, omurga tümörlerinde erken teşhis, sinir hasarının önlenmesi ve yaşam kalitesinin korunması açısından hayati önem taşır. Geçmeyen sırt ağrıları ve nörolojik kayıplarda mutlaka bir uzmana danışılmalıdır.



Piriformis sendromu, kalça bölgesinde derin bir noktada bulunan piriformis kasının, hemen yakınından geçen siyatik sinirini sıkıştırması sonucu ortaya çıkan nöromüsküler bir durumdur. Bu kas, bacağın dışa doğru dönmesini sağlama gibi kritik bir işlev görürken; spazm geçirmesi, şişmesi veya kısalması durumunda vücudun en uzun siniri olan siyatik siniri üzerinde baskı oluşturur. Sonuç olarak kalça derinliğinde şiddetli […]
Detaylı İncele
Omurga ve Omurilik Basit Anatomisi Omurga, 33 adet omur kemiğinden oluşur. Bu kemiklerin 7 tanesi boyun omuru, 12 tanesi sırt omuru, 5 tanesi bel omurudur. Beş tanesi birleşmiş olarak sakrum denilen kemiği ve 4 tanesi yine birleşmiş olarak koksiks denilen kuyruk sokumu kemiğini oluşturur. Omurganın görevi omuriliği korumak ve gövdeyi dik pozisyonda tutmak için destek […]
Detaylı İncele
Disk Hernileri (Fıtıklar) Boyun (servikal), bel (lomber) veya daha nadir görülen sırt (torakal) fıtığı, travma, ağır kaldırma, fazla kilo, yaşlılık, postür bozukluğu, genetik yatkınlık gibi çeşitli nedenlere bağlı olarak omurga kemikleri arasında bulunan disk adı verilen yapıların neden olduğu hastalıktır. Az önce saydığımız nedenlere bağlı olarak diskin çevresini oluşturan annulus yapısının yıpranmasını takiben diskin ortasında […]
Detaylı İncele
Spondilolistezis (Omurga Kayması) Spondilolistezis veya Türkçe adı ile omurga kayması çeşitli nedenlere bağlı olarak, üst üste hizalı dizilimde olan omurgaların bir veya daha fazlasının bu hizalı dizilimi bozacak şekilde yer değiştirmesi yani kaymasıdır. Bu kayma genellikle öne doğru olabileceği gibi arkaya, sağa veya sola olmak üzere her yöne doğru olabilir. Kayma boyun, sırt ve bel […]
Detaylı İncele
Spinal Stenoz (Omurga Kanal Darlığı) Spinal stenoz, halk arasında "dar kanal" olarak bilinen, omurga kanalının çeşitli nedenlerle daralması sonucu içinden geçen sinirlerin ve omuriliğin baskı altında kalması durumudur. Bu darlık boyun (servikal), sırt (torakal), bel (lomber) bölgesindeki herhangi bir seviyede olabilir. Genellikle yaşlanma sürecinin doğal bir sonucu olarak ortaya çıkan bu durum; omurga eklemlerindeki kireçlenmeler, […]
Detaylı İncele
Omurga Tümörleri: Belirtileri, Tanı Yöntemleri ve Güncel Tedavi Yaklaşımları Omurga tümörleri, omurilik kanalında veya omurgayı oluşturan kemik yapılar (vertebralar) içerisinde gelişen anormal hücre kitleleridir. Bu tümörler, doğrudan omurganın kendi dokularından kaynaklanabileceği gibi (birincil/primer tümörler), vücudun başka bir bölgesindeki kanserin (akciğer, meme, prostat gibi) omurgaya sıçramasıyla da (ikincil/metastatik tümörler) oluşabilir. Metastatik tümörler, primer tümörlere oranla çok […]
Detaylı İncele
Karpal Tünel Sendromu El sinirlerinden birisi olan median sinirin el bileği seviyesinde, karpal tünel adı verilen yapı içerisinde çeşitli nedenlere bağlı olarak sıkışması ve basıya maruz kalması sonucu ortaya çıkan tablodur. Nedenleri arasında tekrarlayan el ve bilek hareketleri (bilgisayar kullanımı, piyano, gitar gibi müzik aleti çalma, el örgüsü yapma, halı dokuma vb.),el bileği travmaları, hipotiroidi, […]
Detaylı İncele
Kübital Tünel Sendromu Elin üç ana sinirinden biri olan ulnar sinirin dirsek bölgesinde sıkışması veya basınca maruz kalması sonucu ortaya çıkan tablodur. Sinir, dirseğimizin iç tarafındaki iki kemik çıkıntısının arasından ilerleyerek bu bölgedeki kasın iki başlangıç noktası arasındaki kübital tünel denilen yapı içerisinden geçer. Bu bölgede sinir çok yüzeyelleştiği için basıya ve travmaya açıktır. Dirseğimizi […]
Detaylı İncele
Torasik çıkış sendromu (TÇS), köprücük kemiği ile birinci kaburga arasındaki dar bölgeden (torasik çıkış) geçen sinirlerin veya kan damarlarının sıkışması sonucu ortaya çıkan karmaşık bir durumdur. Bu daralma genellikle travmatik yaralanmalar, tekrarlayan kol ve omuz hareketleri, duruş bozuklukları veya boyun bölgesindeki fazladan bir kaburga gibi anatomik varyasyonlar nedeniyle meydana gelir. Sıkışmanın türüne bağlı olarak hastalarda […]
Detaylı İncele
Santral Sinir Sisteminin Basit Anatomisi Sinir sistemi genel olarak santral sinir sistemi ve periferik sinir sistemi olarak ikiye ayrılır. Santral sinir sistemi beyin, beyin sapı, beyincik ve omurilikten oluşur. Periferik sinir sistemi ise omurilikten çıkan spinal sinirler ve otonom sinir sisteminden oluşur. MENİNKSLER (BEYİN ZARLARI) Beyin ve omurilik, kendisini darbelerden koruyan kranium ve omurga kanalı […]
Detaylı İncele
Beyin Tümörleri Beyin tümörlerinin nedenleri çok iyi bilinmemektedir ama radyasyon, genetik hastalıklar,aile bireylerinde tümör olması, bağışıklık sistemini etkileyen hastalıklar, stress ve çeşitli çevresel kanserojen maddelere maruz kalmak risk faktörü olarak kabul edilmektedir. Beyin tümörlerinin hücrelerin kromozom yapılarında yer alan belirli genlerin hasarlanması veya uygun fonksiyon görmemesi sonucu oluştuğu düşünülmektedir. Genlerdeki bu hasarlanma veya fonksiyon bozukluğu […]
Detaylı İncele
Hipofiz Tümörü Hipofiz bezi, beynin tabanında, "sella turcica" (Türk eyeri) adı verilen küçük bir kemik boşlukta yer alan ve vücudun "orkestra şefi" olarak bilinen hayati bir endokrin bezdir. Hipofiz tümörleri, bu bezdeki hücrelerin anormal ve kontrolsüz büyümesi sonucu ortaya çıkan kitlelerdir. Bu tümörlerin büyük çoğunluğu iyi huyludur (adenom) ve kanserleşme eğilimi göstermezler. Ancak, hormon salgılayıp […]
Detaylı İncele
Chiari malformasyonu (yaygın adıyla Chiari sendromu), beyincik (serebellum) dokusunun kafatasının altındaki açıklıktan (foramen magnum) omurilik kanalına doğru sarkmasıyla karakterize yapısal bir bozukluktur. Normal şartlarda tamamen kafatası içerisinde yer alması gereken beyincik parçaları, kafatasının bu bölgedeki hacminin yetersiz olması veya şekil bozukluğu nedeniyle aşağı doğru itilir. Bu durum, hem beyin sapı ve omurilik üzerinde fiziksel bir […]
Detaylı İncele