1966 yılında Denizli'de doğdu. İlk, orta ve lise öğrenimini Denizli'de tamamladı. 1983 - 1990 yılları arasında Çukurova Üniversitesi Tıp Fakültesi'nde eğitim alarak tıp doktoru olarak mezun oldu. 1990 - 1992 yılları arasında Tunceli Merkez Sağlık Ocağı tabibi olarak zorunlu hizmetini tamamladı. Daha sonra kendi isteği ile Balıkesir Edremit Altınoluk Sağlık Ocağı’na tayin olup Eylül 1997 tarihine kadar pratisyen hekim olarak çalıştı. Bu arada Haziran 1995 - Eylül 1996 tarihlerinde Edremit 100 Yataklı Asker Hastanesi’nde yedek subay olarak askerlik görevini tamamladı. 1997 yılında Pamukkale Üniversitesi Tıp Fakültesi Nöroşirürji Anabilim Dalı’nda başladığı uzmanlık eğitimini 2003 yılında “ Ağır Kafa Travmalı Olgularda İntrakraniyal Basınç ve Hipotalamo - Hipofizer - Gonadal Aks Arasındaki İlişkinin Değerlendirilmesi ” isimli tez çalışması ile tamamlayarak beyin ve sinir cerrahisi uzmanı ünvanını aldı.
Detaylı bilgi ve bu alana ilgi duyan değerli hastalarımız için hazırlanmış bu bölüm hakkında bilgi alın.
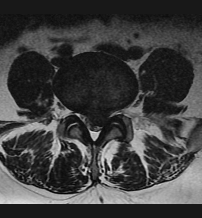
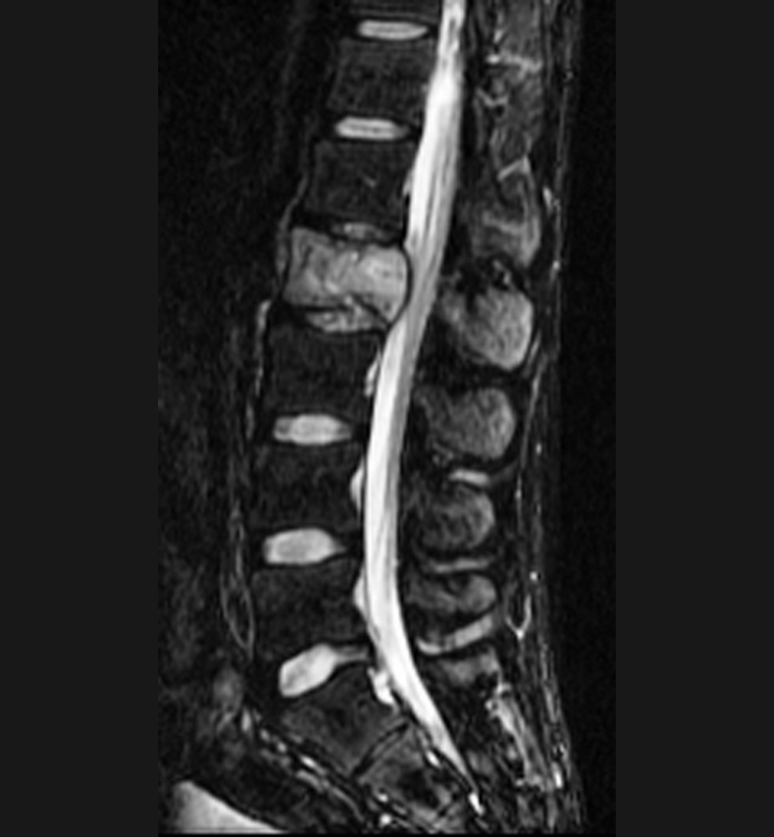
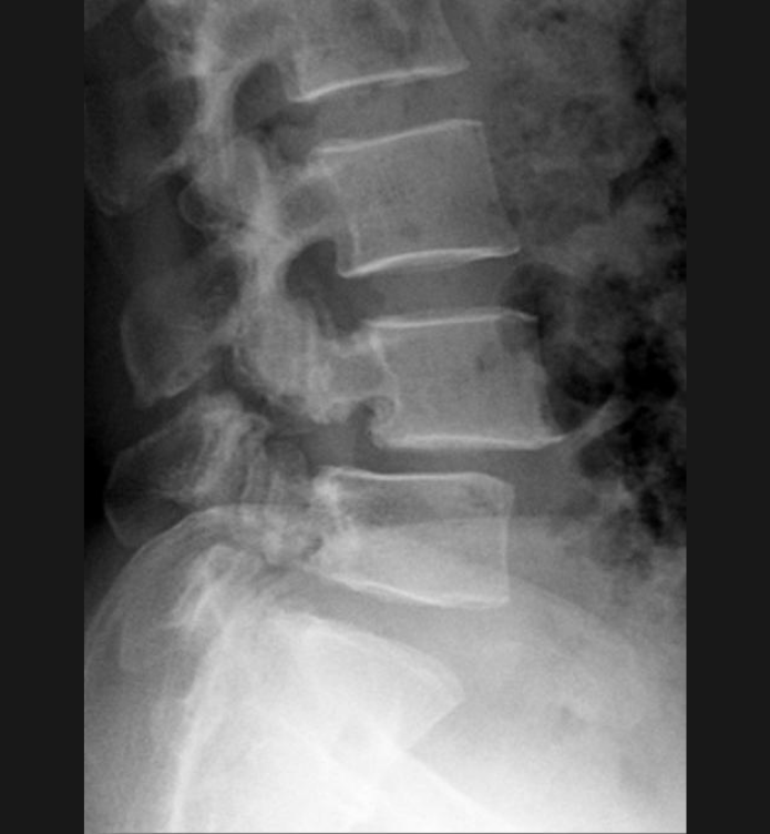
Basit Omurga ve Omurilik Anatomisi Omurga, 33 adet omur kemiğinden oluşur. Bu kemiklerin 7 tanesi boyun omuru, 12 tanesi sırt omuru, 5 tanesi bel omurudur. Beş tanesi birleşmiş olarak sakrum denilen kemiği ve 4 tanesi yine birleşmiş olarak koksiks denilen kuyruk sokumu kemiğini oluşturur. Omurganın görevi omuriliği korumak ve gövdeyi dik pozisyonda tutmak için destek […]
Devamını Oku
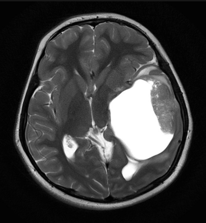
Santral Sinir Sisteminin Basit Anatomisi Sinir sistemi genel olarak santral sinir sistemi ve periferik sinir sistemi olarak ikiye ayrılır. Santral sinir sistemi beyin, beyin sapı, beyincik ve omurilikten oluşur. Periferik sinir sistemi ise omurilikten çıkan spinal sinirler ve otonom sinir sisteminden oluşur. MENİNKSLER (BEYİN ZARLARI) Beyin ve omurilik, kendisini darbelerden koruyan kranium ve omurga kanalı […]
Devamını Oku