Chiari Sendromu

Anasayfa Chiari Sendromu

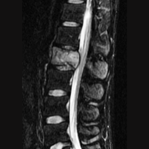
Chiari malformasyonu (yaygın adıyla Chiari sendromu), beyincik (serebellum) dokusunun kafatasının altındaki açıklıktan (foramen magnum) omurilik kanalına doğru sarkmasıyla karakterize yapısal bir bozukluktur. Normal şartlarda tamamen kafatası içerisinde yer alması gereken beyincik parçaları, kafatasının bu bölgedeki hacminin yetersiz olması veya şekil bozukluğu nedeniyle aşağı doğru itilir. Bu durum, hem beyin sapı ve omurilik üzerinde fiziksel bir baskı oluşturur hem de beyin omurilik sıvısının (BOS) doğal akışını engelleyerek merkezi sinir sistemi üzerinde çeşitli baskılara yol açar.

Belirtiler genellikle çocukluk veya genç yetişkinlik döneminde fark edilir ve kişiden kişiye büyük farklılıklar gösterir. En karakteristik semptom, özellikle öksürme, hapşırma, ıkınma veya başı aniden hareket ettirme gibi durumlarda şiddetlenen ense ve baş ağrısıdır. Bunun yanı sıra hastalarda denge kaybı, el becerilerinde azalma, kollarda ve bacaklarda uyuşma, yutma güçlüğü, görme bozuklukları ve uyku apnesi gibi nörolojik şikayetler gözlemlenebilir. Birçok vaka, başka bir nedenle çekilen MR (Emar) görüntülemeleri sırasında tesadüfen teşhis edilmektedir.

Tedavi süreci, semptomların şiddetine ve hastanın yaşam kalitesine olan etkisine göre planlanır. Ancak şiddetli ağrıların, belirli nörolojik defisitlerin veya sinir sistemi hasarı riskinin bulunduğu durumlarda cerrahi müdahale temel çözüm yoludur. "Posterior fossa dekompresyonu" adı verilen cerrahi işlemle kafatası tabanındaki basınç azaltılır, beyincik için daha fazla alan yaratılır ve beyin omurilik sıvısının normal akışı yeniden sağlanır. Erken teşhis, sinir sisteminde oluşabilecek kalıcı hasarların önlenmesi açısından kritik önem taşır.

Sağlıklı günler.

Diğer Alanlar